Top.Mail.Ru
Федоренко Галина Николаевна - стоматолог- в клинике Зуб.ру
Федоренко Галина Николаевна

Федоренко Галина Николаевна

Гигиенист

Войковская

Опыт работы

23 года

Отзывы:

28 отзывов

Записаться к врачу

Чем поможет доктор

скилл

Профилактика заболеваний полости рта

скилл

Профессиональная гигиена полости рта

скилл

Снятие зубного камня

скилл

Снятие зубного налета (AIR-FLOW)

скилл

Полировка зубов пастой

скилл

Фторирование и реминерализация зубов

скилл

Обучение навыкам гигиены полости рта

скилл

Все виды отбеливания зубов

Образование

образование

2003

Среднее профессиональное образование

Ставропольский базовый медицинский колледж

Стоматология профилактическая

образование

2019

Дополнительное профессиональное образование

ООО ДПО "Университет профессиональных стандартов"

Современные аспекты профилактической стоматологии

образование

2024

Дополнительное профессиональное образование

АНО ДПО "Медицинский институт имени Святителя Луки"

Стоматология профилактическая

Отзывы пациентов

Все 28 отзывов

5

28.02.2026

Светлана

Спасибо огромное мед персоналу за отлично обслуживание, врачи  очень добросовестно относятся, вежливые сотрудники в регестратуре. Дальнейшего процветания клиники. Спасибо        

5

07.02.2026

Кристина

Много лет прохожу гигиену именно в данной клинике у Федоренко Г.Н. Профессионал. Всегда быстро, качественно и бережно! Спасибо!  

5

31.01.2026

Марина

Огромная благодарность Федоренко Галине Николаевне за профессионализм и отзывчивость. Процедура прошла быстро и без боли. Даны полезные и нужные рекомендации. Остались приятные впечатления)

5

13.12.2025

Иван

Не первый год обращаюсь за помощью именно к этому специалисту из-за высокого профессионализма , готовности решить все задачи по гигиене полости рта. Мои самые лучшие рекомендации этому специалисту.  ️

5

07.12.2025

Юрий

Благодарю за деликатность при  проведении  процедуры и отличный результат!

5

27.08.2025

Жуков Андрей Юрьевич

Вежливая и аккуратная. После процедуры все объяснила и показала по правильной чистке

5

27.08.2025

Никиперович Илья Игоревич

Быстро управились, врач и медсестра были максимально доброжелательны, все было отлично

5

17.03.2025

Дразян Эмиль Эдуардович

все прошло замечательно, результат отличный, врач проконсультировала и дала дальнейшие рекомендации. спасибо

5

22.01.2024

Трошина Ольга Владимировна

Очень признательна Галине Николаевне за профессионализм и внимательное отношение. Всегда данная процедура была для меня крайне болезненна и оставалось ощущение какого-то "не до...". Я и не предполагала что может быть как-то иначе.  Моя искренняя благодарность доктору!

5

04.03.2022

Елена

Хочу выразить огромную благодарность Федоренко Галине Николаевне. Когда я впервые попала к Галине Николаевне, поняла, что это замечательный специалист своего дела. Гигиеническую чистку у неё делаю по ДМС на Войковской уже несколько лет подряд. Она всегда очень внимательна,  всё расскажет и подскажет. Чистку делает на столько нежно и безболезненно, что иногда даже погружаешься в сон.

5

09.09.2021

Лилия

2 раза делала у Галины Николаевны гигиеническую чистку по ДМС. Она очень хороший специалист, выполняет процедуру профессионально, быстро, безболезненно. Всем рекомендую!

5

29.07.2021

Ирина

Я в полном восторге от посещения врача! Совершенно безболезненная чистка, ощущения от струи эйр флоу даже чувствительнее, чем от применения ультразвука, что практически невозможно! Причем чистка сначала ультразвуком, потом эйр флоу, а потом еще раз дочистка ультразвуком. Спасибо огромное за работу!

5

29.07.2021

Ирина

Совершенно потрясающая чистка зубов! Н
Врач настолько безболезненно работает ультразвуком , что струя эйр флоу чувствуется даже болезненнее:) Подобной безболезненной чистки зубов у меня за 25 лет регулярной чистки еще не было. Спасибо огромное за работу!

5

12.03.2021

Анна

Впервые проходила гигиеническую чистку полости рта в "Зуб.ру" по ДМС. Специалиста выбирала по отзывам. Результатом осталась очень довольна! Профессионально, качественно, безболезненно. Огромное спасибо, Галина Николаевна, Вы-супер! На следующий год только к Вам. Рекомендую!

5

04.01.2021

Иван

Очень внимательный, заботливый доктор. Качественно оказывает данную услугу, с учётом индивидуальных особенностей  пациента. Стараюсь  приходить на приём  Галине Николаевне .Мои лучшие рекомендации!

5

31.10.2020

Максим

Отличный док, заботливая как Мама .
Как специалист, отличный.
Результатом доволен.

5

12.07.2020

Анна

Была у данного врача впервые, 11.07, делала ультразвуковую чистку зубов и Эйр Флоу. Впечатлило то, что обычно, эти процедуры сопровождаются болезнными ощущениями, но врач настолько все аккуратно делала, что боли совсем не было. Также поразила внимание и забота врача, мне была посоветована специальная паста для чувствительных зубов, нить для зубов, которая идеально мне подходит и даже ирригатор определенной модели. Еще раз хочу выразить огромную благодарность врачу, буду теперь ходить только к ней. Рекомендую на 300%!!!

5

12.03.2020

Игорь

Качествено и без боли

5

07.03.2020

Юлия

Была на приеме у Галины Николаевны 7 марта 2020г. Доброжелательна, аккуратно выполнила всю работу без болезненных ощущений. Дала рекомендации по уходу за полостью рта. Рекомендую 👍

5

22.02.2020

Алексей

Все сделали отлично, быстро и без боли))

Записаться на прием

Выберите клинику

Укажите вашу контактную информацию

Имя *

Фамилия *

Дата рождения *

Электронная почта *

Контактный телефон *

Примеры работ

Все 12 работ

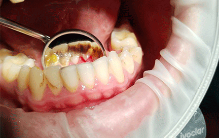
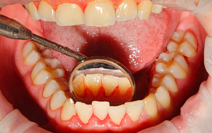
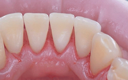
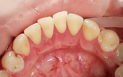
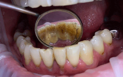
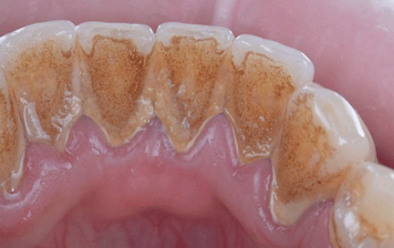
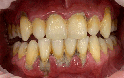
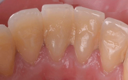
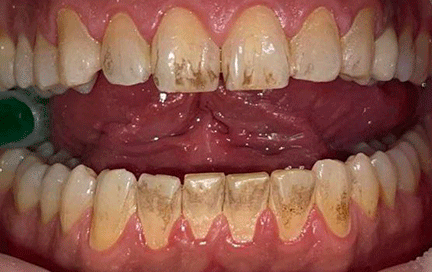
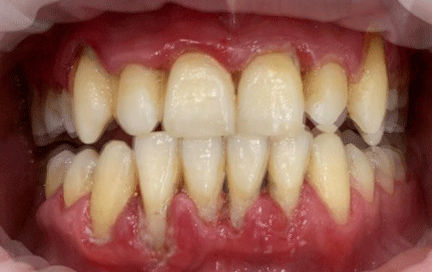
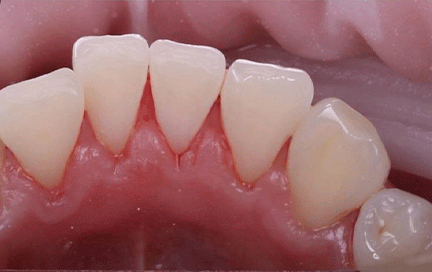
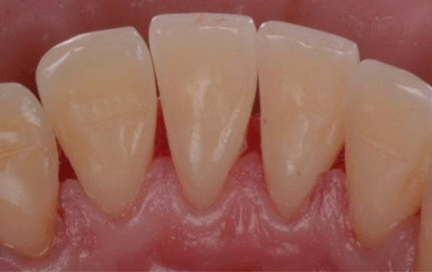
До

После

Профессиональная гигиена

Подробнее

Филиал

Количество визитов

1 визит

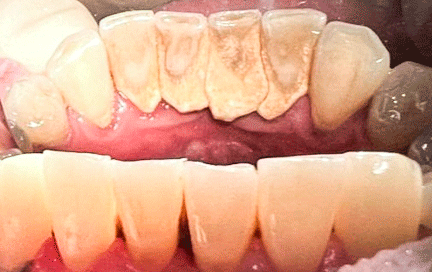
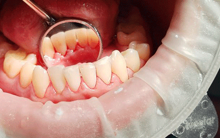
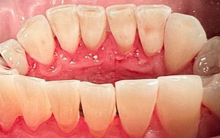
До

После

Профессиональная гигиена

Подробнее

Филиал

Количество визитов

1 визит

До

После

Профессиональная гигиена

Подробнее

Филиал

Количество визитов

1 визит

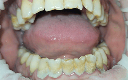
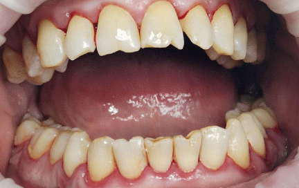
До

После

Профессиональная гигиена

Подробнее

Филиал

Количество визитов

1 визит

До

После

Профессиональная гигиена

Подробнее

Филиал

Количество визитов

1 визит

До

После

Профессиональная гигиена

Подробнее

Филиал

Количество визитов

1 визит

До

После

Профессиональная гигиена

Подробнее

Филиал

Количество визитов

1 визит

До

После

Профессиональная гигиена

Подробнее

Филиал

Количество визитов

1 визит

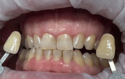
Услуга

Air Flow

До

После

Профессиональная гигиена

Подробнее

Филиал

Количество визитов

1 визит

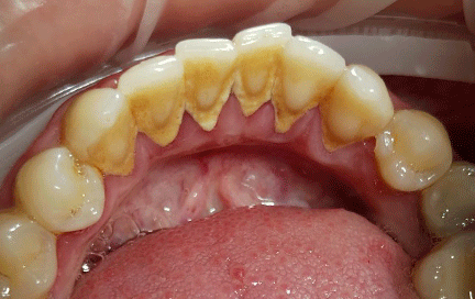
До

После

Профессиональная гигиена

Подробнее

Филиал

Количество визитов

1 визит

До

После

Профессиональная гигиена

Подробнее

Филиал

Количество визитов

1 визит

До

После

Отбеливание зубов

Подробнее

Филиал

Количество визитов

1 визит

Копирование, тиражирование, а равно иное использование материалов, размещенных на сайте www.zub.ru возможно только с письменного разрешения Правообладателя. Обращаем Ваше внимание на то, что данный интернет-сайт носит исключительно информационный характер и  ни при каких условиях информационные материалы и цены, размещенные на сайте, не являются публичной офертой, определяемой положениями Статьи 437 Гражданского кодекса РФ. Услуги лицензированы. имеются противопоказания. необходима консультация специалиста.

Сайт разработан IT CRON