Top.Mail.Ru
Зуботехническая лаборатория

Зуботехническая лаборатория Зуб.ру

Улыбка — это не просто проявление эмоций, но и визитная карточка человека.

Восстановление зубов и изготовление стоматологических конструкций — ответственный этап, от которого зависит удобство, эстетика и срок службы протеза. Поэтому особенно важно доверить здоровье зубов специалистам, которые используют современные технологии и гарантируют высокое качество работы.

1 000+

Ежемесячно наши зубные техники выполняют более 1 000 ортопедических работ.

Улыбка — это не просто проявление эмоций, но и визитная карточка человека.

Восстановление зубов и изготовление стоматологических конструкций — ответственный этап, от которого зависит удобство, эстетика и срок службы протеза. Поэтому особенно важно доверить здоровье зубов специалистам, которые используют современные технологии и гарантируют высокое качество работы.

1 000+

Ежемесячно наши зубные техники выполняют более 1 000 ортопедических работ.

Почему стоит выбрать Зуб.ру

15 лет успешной работы зуботехнической лаборатории

С 1998 года мы помогаем людям обрести здоровую улыбку, постоянно совершенствуясь и внедряя новые технологии.

Непрерывная и слаженная работа полного цикла

Стоматологи тесно сотрудничают с врачами многопрофильного центра Поликлиника.ру, что позволяет придерживаться комплексного подхода в протезировании, лечении зубов и всего организма в целом.

Минимальный процент брака

Всего 1%: стремление к совершенству и строгий контроль качества, что вызывает доверие пациентов и создает комфортные условия работы для врачей-стоматологов, которые работают с зубными техниками в одной команде.

Лучшее оборудование

Современная аппаратура — неотъемлемая часть качественной зуботехнической лаборатории. От функционала оборудования зависит скорость и точность изготовления протезов, качество и эстетика новой улыбки. У нас установлены аппараты от ведущих мировых производителей, которые помогают решать самые сложные задачи и получать наилучший финальный результат протезирования.

В работе используются материалы от мировых лидеров, таких как Ivoclar, Renfert, Shofu, Condulor и других, что гарантирует надежность и безопасность ортопедических конструкций.

Лабораторные сканеры Medit

Обеспечивают точное цифровое сканирование слепков для создания идеальных 3D-моделей зубов пациента. Обработка одного шаблона занимает 8 секунд, а комбинация из 4 камер обеспечивает четкие снимки без слепых зон.

3D-принтеры Phrozen

Для печати стоматологических изделий по результатам интраорального сканирования. Технология ускоряет процесс прототипирования и позволяет создавать сложные конструкции высокого качества: капы для зубов, хирургические шаблоны, различные виды протезов.

Печи для обжига Ivoclar, Zubler, Dentsply Sirona

Для изготовления протезов из керамики и диоксида циркония. Аппараты имеют встроенные программы обработки материалов для создания высокопрочных изделий любой толщины и конфигурации, и обеспечивают качественный обжиг керамики для долговечности и эстетичности изделий.

Передовые технологии

От идеи до идеальной улыбки

Селективное лазерное спекание (SLS)

Технология печати для создания изделий из металлических сплавов с помощью лазерного луча обеспечивает высочайшую прочность конструкции, точное соответствие цифровой модели, правильную установку протеза в полости рта.

CAD/CAM фрезерование

Компьютерное моделирование и автоматизированное изготовление конструкций из различных материалов с высокой точностью. Изготовление протезов проводится на станках с числовым программным управлением. Изделия создаются в точном соответствии с цифровыми моделями и исключают погрешности.

Цифровое моделирование конструкции

Проводится в специальной компьютерной программе и позволяет учитывать индивидуальные особенности пациента и обеспечивает идеальную посадку протеза. Ортопедические конструкции проектируют с точностью до микрон, чтобы обеспечить идеальную посадку в полости рта, избежать зазоров между изделием и тканями зуба.

Изделия лаборатории

Зуботехническая лаборатория Зуб.ру изготавливает разнообразные ортопедические и стоматологические изделия для реставрации улыбки по эстетическим и медицинским показаниям. Независимо от сложности вашего случая, мы подберем оптимальное решение, которое вернет вам уверенность и комфорт.

Ультратонкие керамические виниры

Позволяют скорректировать форму и цвет зубов с минимальным вмешательством.

Несъемные конструкции

Мостовидные протезы и коронки, фиксирующиеся на зубах или имплантатах.

Временные коронки

Эстетика и функциональность на период изготовления постоянных конструкций.

Постоянные коронки

Изготавливаются из различных материалов и любой сложности, включая металлокерамику, керамику и цирконий.

Керамические пломбы-вкладки

Альтернатива обычным пломбам, обеспечивающая высокую эстетичность и долговечность.

Преимущества собственной ЗТЛ

Наша клиника гордится наличием собственной зуботехнической лаборатории, что является редкостью даже для крупных медицинских учреждений. Почему это так важно?

Гарантия качества

Мы контролируем каждый этап производства, от выбора материалов до финальной обработки. Все этапы разработки и изготовления протезов проводятся с соблюдением строгих стандартов. Мы уверены в качестве каждого изделия и даем расширенную гарантию на ортопедические конструкции.

Оперативное изготовление

Благодаря оперативной работе внутренней лаборатории сроки изготовления ортопедических конструкций значительно сокращаются. Наша лаборатория работает ежедневно, а коллектив состоит из 28 опытных сотрудников. Вам не придется долго ждать, чтобы вернуть себе красивую и здоровую улыбку.

Доступные цены

Собственный цикл производства и отсутствие наценок посредников позволяют снизить себестоимость ортопедических конструкций и сделать лечение более доступным для пациентов без ущерба для качества. А благодаря современным технологиям достигается высокая точность производства и увеличивается срок службы протезов.

Работы любой сложности

На протяжении 15 лет мы создаем съемные и несъемные конструкции для разных клинических случаев — от эстетической реставрации улыбки винирами до протезирования всей челюсти при полном отсутствии зубов. Наша команда взаимодействует как единый механизм: стоматолог и зубной техник работают в тесном сотрудничестве, что обеспечивает идеальное соответствие протеза анатомическим особенностям пациента.

Доверьте свою улыбку профессионалам

Здоровье зубов — это инвестиция в качество вашей жизни. В Зуб.ру мы гарантируем индивидуальный подход, высокое качество и полную прозрачность на всех этапах взаимодействия, а также гарантии и поддержку по окончанию лечения.

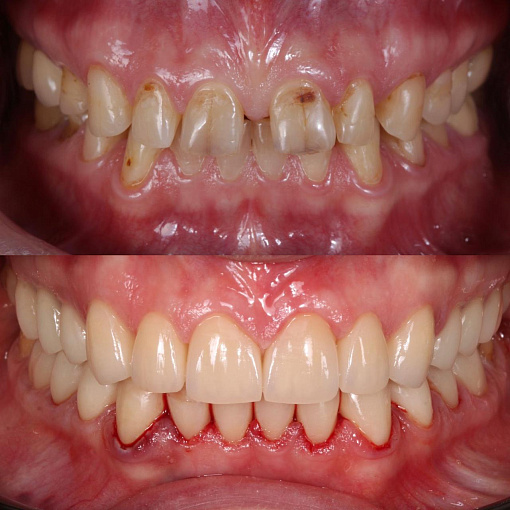
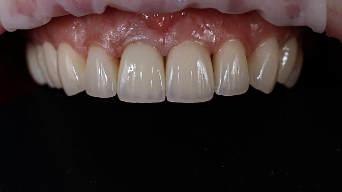
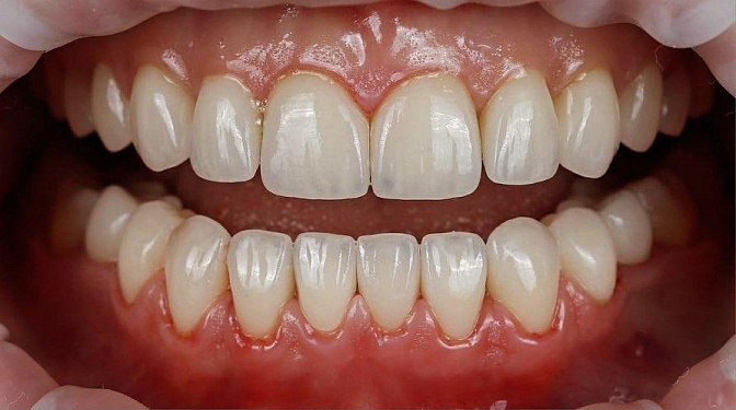
Наши работы

Наше пространство

Копирование, тиражирование, а равно иное использование материалов, размещенных на сайте www.zub.ru возможно только с письменного разрешения Правообладателя. Обращаем Ваше внимание на то, что данный интернет-сайт носит исключительно информационный характер и  ни при каких условиях информационные материалы и цены, размещенные на сайте, не являются публичной офертой, определяемой положениями Статьи 437 Гражданского кодекса РФ. Услуги лицензированы. имеются противопоказания. необходима консультация специалиста.

Сайт разработан IT CRON