Соловьев Дмитрий Юрьевич
Фрунзенская
Опыт работы
13 лет
Стоимость приема:
от 1 500 ₽
5.0
16 отзывов
Чем поможет доктор
Профессиональная реабилитация зубо-челюстной системы после лечения
Комплексный подход к лечению и современные методы диагностики и протезирования
Эстетическая реставрация формы зубов и улыбки (виниры, цельнокерамические коронки)
Восстановление анатомической целостности зубных рядов
Современное протезирование (керамические вкладки, циркониевые коронки, работы на спец.сплавах)
Полное восстановление эстетики и жевательной функции с использованием несъемных конструкций на имплантатах различных систем
Съемное и несъёмное протезирование
Образование
2013
Высшее образование
ГОУ ВПО "Московский государственный медико-стоматологический университет ФА по ЗСР"
Стоматология
2014
Послевузовское образование
ГОУ ВПО "Московский государственный медико-стоматологический университет ФА по ЗСР"
Стоматология общей практики
2015
Дополнительное профессиональное образование
НОЧУ ДПО "Медицинский стоматологический институт"
Стоматология ортопедическая
Отзывы пациентов
Все 16 отзывов5
25.04.2026
Наталья
Порекомендую визит к Соловьёву Д.Ю.со 100% вероятностью! Рекомендации руководству:всячески поощрять этого специалиста и быть благодарными, что он здесь работает.
Читать полностью
Филиал
5
28.02.2026
Валерий
Соловьев Дмитрий Юрьевич!
Давно знаю и уважаю данного специалиста своего дела.
Прошло почти 3 года и я записался на "технический осмотр" своих имплантов.
Всегда доброжелательный, пояснил суть процедуры, проверил и дал советы по дальнейшим действиям.
Планирую в апреле поставить еще один новый зуб. Дмитрию Юрьевичу и коллективу Зуб-ру на Фрунзенской выражаю Спасибо за Ваш труд!
Рекомендую! Валерий Геннадьевич 9266421600
Читать полностью
Филиал
5
25.02.2026
Анастасия
Прекрасный, компетентный доктор! Да и в целом в клинике приятная атмосфера, сотрудники доброжелательны.
Читать полностью
Филиал
5
27.12.2025
Оксана
Все, как всегда на высшем уровне!!! Спасибо огромное Соловьеву Дмитрию Юрьевичу!!! Все точно, качественно и в срок. Профессионал своего дела!!!
Читать полностью
Филиал
5
06.12.2025
Людмила
Дмитрий Юрьевич - профессионал ! Работает быстро, качественно ! Обращаюсь к нему уже не первый раз. Рекомендую !
Читать полностью
Филиал
5
26.11.2025
Ярмоленко Оксана Александровна
На приеме у врача не первый раз, все прошло как всегда очень хорошо. Назначили план лечения, по которому будем работать
Читать полностью
Филиал
5
15.11.2025
Тихонова Елена Ивановна
Хочется отметить душевное отношение к пациентам и высокий профессионализм доктора Соловьёва. Огромное спасибо!!!
Читать полностью
Филиал
5
02.11.2025
Елизавета
Лучший ортопед к которому я ходила. Устанавливал мне коронку на иплант, которнку на зуб + ремонт коронки на имплант, который делала в другой клинике.
Коронки просто потрясающие! Мало того, что они выглядят как настоящие зубы, они ощущаются языком как настоящие зубы! Все эти изгибы, бугорки… Плотное прилегание к десне как будто зуб оттуда и растет… у меня много коронок во рту, но эти самые лучшие! Спасибо за великолепную работу! Я наслаждаюсь
Читать полностью
5
06.08.2025
Тихонова Елена Ивановна
Огромное спасибо доктору Соловьёву за душевное отношение к пациентам! Хочется также отметить высокий профессионализм.
Читать полностью
Филиал
5
18.02.2023
Егор
Всем здравия, вот наконец закончилось долгожданное лечение хочу оставить отзыв о моем лечащем враче Соловьеве Дмитрие Юрьевиче , некое время был в поисках лечащего врача, попал к нему на консультацию по рекомендации знакомых.
Доктор составил рациональный план лечения по всем этапам включая удаление имплантацию лечение перелечивание и протезирование зубов , прекрепил к узким специалистам .Чувствуется высокий профессионализм в работе , отсюда полное доверие врачу , я соблюдал все рекомендации и результатом остался очень доволен. Огромное спасибо доктору .
Читать полностью
5
17.02.2023
Анна
Слаженная работа доктор -ассистент , быстро , профессионально , аккуратно и без боли ,результат великолепен. Огромная благодарность Дмитрию Юрьевичу и его ассистентке Саиде .
Читать полностью
5
24.12.2022
Рыжикова Светлана
В декабре 2022 года я обратилась в клинику " зуб.ру" на Фрунзенской. Говоря языком обычного пациента, мне нужно было установить коронку. Записалась на прием к доктору Соловьеву Дмитрию Юрьевичу и считаю, что мне повезло. Поскольку мне достаточно много лет, то и зубы требуют соответствующего ремонта, что несколько волновало. Однако, в процессе лечения не было никаких отрицательных эмоций, все проходило в спокойной атмосфере. На период между посещениями устанавливалась временная коронка, что было очень комфортно. Я благодарна доктору Соловьеву Дмитрию Юрьевичу за его работу, он, конечно, специалист высшего класса, а также хочу сказать большое спасибо его ассистентке Абакаровой Саиде за ответственное отношение к своим обязанностям и доброе, внимательное отношение к пациенту.
Читать полностью
Услуга
Протезирование зубов5
12.06.2020
Наталья
К Дмитрию Юрьевичу впервые пришла на приём для восстановления жевательного зуба, который был сильно разрушен и требовал изготовления штифтовой конструкции и временной коронки (до заживления корня зуба). Доктор все сделал без боли и беспокойства в два посещения. Не месте ранее практический полностью запломбированного зуба появилась пластиковая коронка, которая, даже несмотря на своё временное назначение, выглядит, как настоящий здоровый зуб. Дмитрий Юрьевич не ограничился восстановлением зуба, но выписал рекомендации относительно лечения и протезирования и ещё нескольких жевательных зубов. На сегодняшний день стараниями врача отреставрировано уже три зуба, и работа по лечению моих зубов продолжается.
Благодарю Дмитрия Юрьевича и клинику «Зуб.ру» Фрунзенская за качественную работу и внимательное отношение к пациентам.
Читать полностью
Филиал
5
16.03.2020
Ирина
Совершенно не мешала временная коронка, и постоянная. тоже.
Читать полностью
5
31.12.2019
Вадим
Добрый день.
Удалял зуб и ставил коронку, сделано всё очень быстро и качественно, а самое главное с заботой о пациенте
Читать полностью
Услуга
Протезирование зубовЗаписаться на прием
Выберите клинику
Выберите дату приема
Сентябрь 2024
ПН
ВТ
СР
ЧТ
ПТ
СБ
ВС
Выберите время приема
Утро
День
Вечер
На выбранный период нет доступных слотов на запись
Попробуйте выбрать другой месяц или оформите заявку на обратный звонок
Выберите время приема
Укажите вашу контактную информацию
Имя *
Фамилия *
Дата рождения *
Электронная почта *
Контактный телефон *
Я ознакомлен и согласен с «Условиями сбора и обработки персональных данных»
Поля отмеченные * обязательные для заполнения
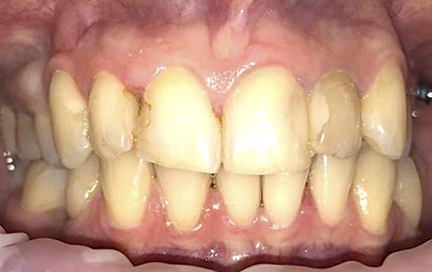
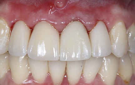
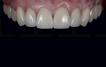
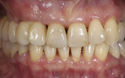
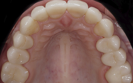
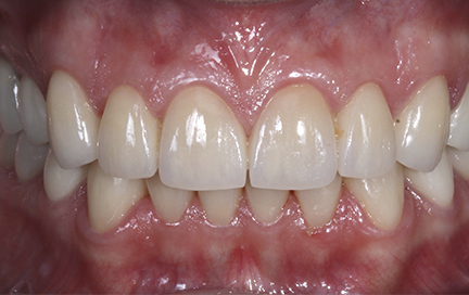
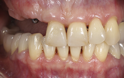
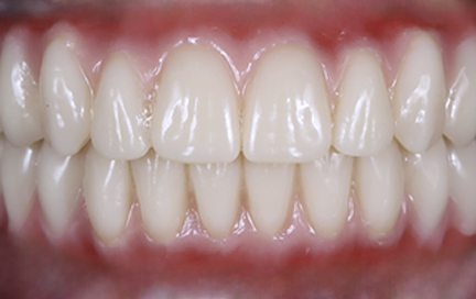
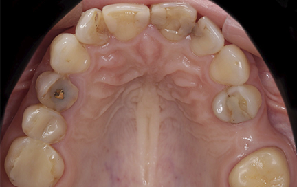
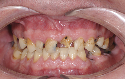
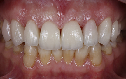
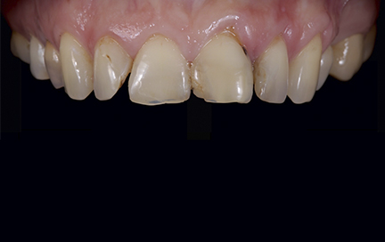
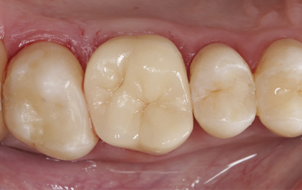
Примеры работ
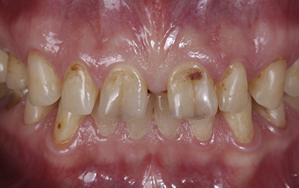
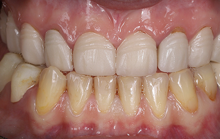
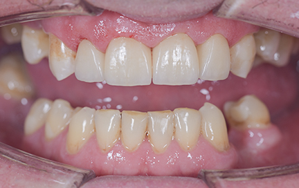
Все 16 работДо
После
Керамические вкладки
ПодробнееФилиал
Услуга
Вкладки на зубыДо
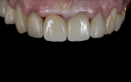
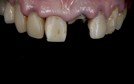
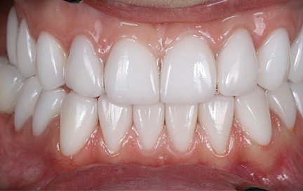
После
Керамические коронки
ПодробнееФилиал
Услуга
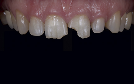
Керамические коронкиДо
После
До
После
До
После
Керамические коронки
ПодробнееФилиал
Услуга
Керамические коронкиДо
После
Керамические коронки
ПодробнееФилиал
Услуга
Керамические коронкиДо
После
Керамические коронки
ПодробнееФилиал
Услуга
Керамические коронкиДо
После
Керамические коронки
ПодробнееФилиал
Услуга
Керамические коронкиДо
После
До
После
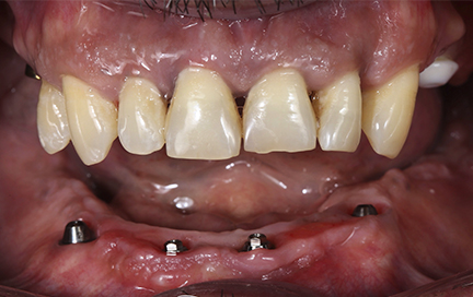
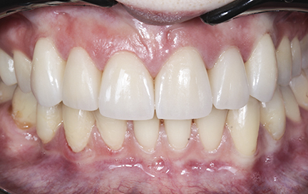
Протезирование нижней челюсти
ПодробнееФилиал
Услуга
Имплантация All-on-4До
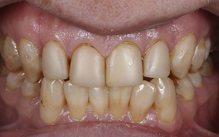
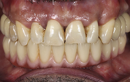
После
Тотальное протезирование всей челюсти
ПодробнееФилиал
Услуга
Имплантация All-on-4До
После
До
После
Коронки на имплантатах
ПодробнееФилиал
Услуга
Циркониевые коронкиДо
После
До
После
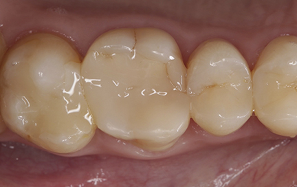
Керамические накладки после лечения
ПодробнееДо
После
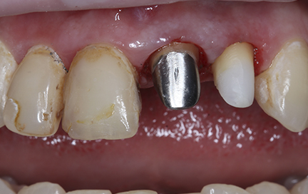
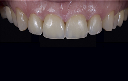
Имплантация с установкой коронки
ПодробнееСовременная аптека с большим выбором лекарств и медицинских товаров. Высокое качество и доступные цены для вашего здоровья
Все виды клинических исследований, современные анализаторы и системы контроля ведущих мировых производителей.
Сервис медицинской помощи на дому для взрослых и детей. Обследования, осмотры врачей, анализы, процедуры в домашних условиях.
Центр профессионального здоровья, специализируется на выявлении профессиональных заболеваний.
Широкий спектр стоматологических услуг, инновационное оборудование и ведущие специалисты.
Современные медицинские центры. Оказываются услуги по более, чем 40 направлениям.